HOPE-CP-tutkimus – Journal of Periodontology, 2026
Yli kaksi kertaa useampi potilas saavutti terveet ikenet.
6 kuukauden satunnaistetussa kontrolloidussa tutkimuksessa (n=200) kotikäyttöinen kaksoisvalohoito paransi merkittävästi tulehduksen hallintaa, plakin vähentymistä ja parodontaalista tasapainoa verrattuna pelkkään tavanomaiseen hoitoon.
Lumoral tarjoaa kliinisesti merkittäviä parannuksia parodontaaliterveyteen.
Lue koko tutkimus: https://doi.org/10.1002/jper.70082
Lumoral + ylläpitohoito
Pelkkä ylläpitohoito
51 %
23 %
12,0 %
17,3 %
9,7 %
14,2 %
63 %
38 %
5,3
7,8
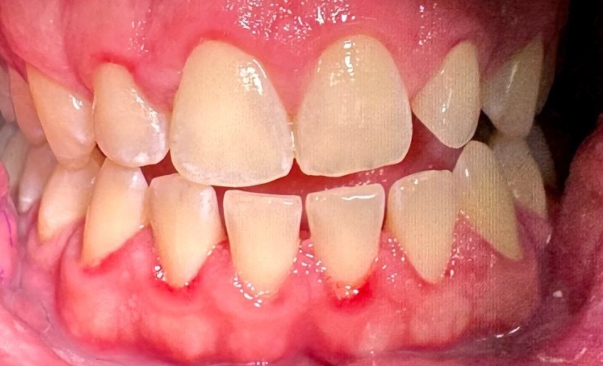
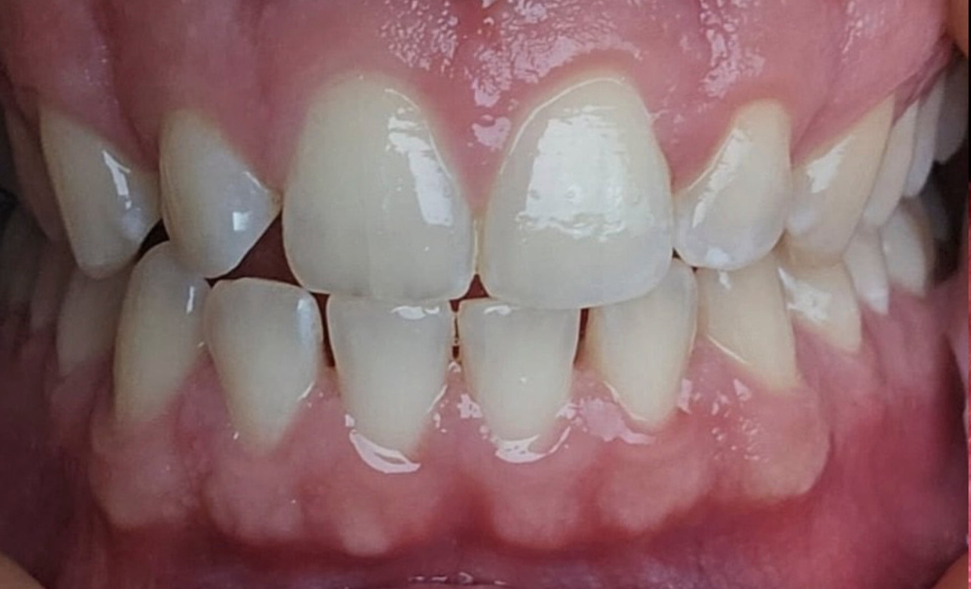
Potilastapaus
Neljä viikkoa kestäneen seurantajakson aikana, jolloin Lumoralia käytettiin päivittäisen suuhygienian lisänä, havaittiin selkeitä parannuksia suun terveydessä.
Ientaskumittauksessa havaittu verenvuoto (BOP) väheni merkittävästi lähtötason 52 %:sta 15 %:iin, mikä viittaa huomattavaan ientulehduksen vähenemiseen.
Myös keskimääräinen plakki-indeksi (API) parani selvästi, laskien 75 %:sta 36 %:iin, mikä kuvastaa huomattavasti parempaa plakin hallintaa ja suuhygieniaa.
Nämä tulokset ovat linjassa Lumoralin kliinisten tutkimusten kanssa ja osoittavat, että säännöllinen käyttö mekaanisen plakinpoiston tukena voi johtaa nopeisiin ja kliinisesti merkittäviin parannuksiin ienterveydessä ja biofilmin hallinnassa.

Lähtötilanne

4 viikon seuranta
Lumoral-hoito
Lumoral® on patentoitu suomalainen CE-merkitty lääkinnälinen laite suun sairauksien hoitoon ja ennaltaehkäisyyn. Sen vaikutus on kliinisesti todennettu, ja se tehostaa potilaan supragingivaalisen biofilmin hallintaa.
Lumoral-hoito auttaa ehkäisemään ja hoitamaan biofilmin aiheuttamia suun sairauksia, kuten iensairauksia, kariesta ja suun limakalvotulehduksia.

Hyödyt ammatilaiselle
Lumoral tehostaa suun tulehdusten hallintaa ja vie useamman potilaan hoitovalmiuteen.
• 6 kuukauden satunnaistetussa kontrolloidussa tutkimuksessa (n=200) yli kaksinkertainen määrä potilaita saavutti terveet ikenet verrattuna tavanomaiseen hoitoon. Tämä auttaa parodontiitti potilaan etenemään nopeammin esimerkiksi implantointi- ja oikomishoitoihin.
Omahoito toimii johdonmukaisesti myös hoitokäyntien välillä, kun biofilmi pysyy päivittäin hallinnassa.
• Tehokkaampi biofilmin hallinta vähentää parodontiitin ja peri-implantiitin uusiutumisen riskiä. Lumoral soveltuu hyvin paro-, implantti- ja oikomispotilaiden hoidon tueksi. Tukihoitovaiheessa Lumoral hoidon voi kohdentaa gingiviitin tai peri-implanttimukosiitin hoitoon nostamalla käyttötiheyttä kuuriluontoisesti päivittäiseen käyttöön.
Käytännössä tämä näkyy ennakoitavampana hoitona, tyytyväisempinä potilaina ja vähempinä komplikaatioina.
• Kun tulehdusten hallinta onnistuu paremmin myös kotona, hoitojen eteneminen on tasaisempaa ja lopputulokset ennakoitavampia. Samalla potilaskokemus paranee ja komplikaatioista aiheutuvat kustannukset laskevat.
Helppo 3-vaiheinen rutiini

Purskuttelu
Suu purskutellaan Lumorinse®-suuhuuhteella 60 sekuntia ja syljetään pois. Valoherkkä väriaine indosyaniinivihreä sitoutuu biofilmiin. Valoherkisteen kiinnittyminen ei ole välttämättä silmille näkyvää.

Aktivointi
Suukappaletta pidetään suussa 10 minuuttia. Valo aktivoi biofilmiin kiinnittyneen väriaineen ja antibakteerinen vaikutus alkaa. Lämmön tunne ja syljenerityksen lisääntyminen on osa hoitoa. Suukappaleen ei tarvitse istua täydellisesti eikä sitä tarvitse purra. Valo sammuu automaattisesti.

Harjaus
Hammasvälit puhdistetaan ja hampaat harjataan huolellisesti hoidon jälkeen. Hoito on heikentänyt biofilmin rakennetta, mikä tekee puhdistuksesta tehokkaampaa. Suukappale puhdistetaan nestemäisellä astianpesuaineella ja juoksevalla vedellä.
Lumoral-innovaatio
European Federation of Periodontology (EFP) suosittelee sekä ammattimaista että kotona toteutettavaa supragingivaalisen biofilmin hallintaa kaikille parodontiittipotilaille. EFP ei kuitenkaan suosittele perinteistä fotodynaamista terapiaa (aPDT).
Soveltuvien valonlähteiden puute on hidastanut sen laajaa käyttöönottoa, ja hammaslääketieteessä aPDT:tä on käytetty pääosin vastaanotoilla laservaloa hyödyntäen. Tutkimusten mukaan pysyvän vaikutuksen saavuttamiseksi hoitoa tulisi antaa säännöllisesti, mutta menetelmä on rajoittunut kalliisiin ja kertaluonteisiin hoitoihin.
Lumoral tarjoaa ratkaisun kotikäyttöisen LED-teknologian avulla ja tuo tämän tieteellisesti todistetun menetelmän ensimmäistä kertaa helposti saataville. Tämä avaa mahdollisuuden hyödyntää sen täyttä potentiaalia uudella tavalla: turvallisesti, säännöllisesti ja kustannustehokkaasti.
Lumoral-hoidon toimintaperiaate
Lumoral yhdistää neljä teknologista vaikutusta yhdeksi tehokkaaksi hoitomuodoksi.

Fotobiomodulaatio (PBM) 810 nm
810 nm:n valo stimuloi ienkudoksen solujen mitokondrioita lisäten niiden ATP-tuotantoa. Se vähentää tulehdusta ja edistää kudosten paranemista. Kliinisessä käytössä mm. suun limakalvotulehdusten hoidossa.

Fototerminen vaikutus (aPTT)
Indosyaniinivihreä sitoutuu bakteeribiofilmiin ja aktivoituu 810 nm:n valolla. Valo muuttuu lämmöksi, joka rikkoo biofilmin ja bakteerien solukalvot. Lisäksi lämpö stimuloi syljeneritystä.

Fotodynaaminen vaikutus (aPDT)
Sama väriaine tuottaa valon vaikutuksesta myös pienen määrän reaktiivista happea, joka tukee fototermistä vaikutusta. Antibakteerinen vaikutus on tehokas myös biofilmissä.

Antibakteerinen sinivalo (aBL) 405 nm
Sinivalo aktivoi bakteerien omia väriaineita, jolloin aPTT- ja aPDT-hoitojen teho paranee. Koska vaikutus perustuu bakteerien luonnollisiin rakenteisiin, ne eivät voi kehittää vastustuskykyä Lumoral-hoitoa vastaan.

Todistettu teho
- Tehokas hoito parodontiittiin ja peri-implantiittiin
- Voidaan käyttää säännöllisesti ilman bakteeriresistenssiä
- Ei-invasiivinen ja hyvin siedetty
- Vähentää biofilmin ja hammaskivenmuodostumista
- Vähentää tulehdusta
- Vähentää ientaskuja
- Edistää pitkäaikaista suun terveyttä
- Sopii myös erityisryhmille
Lumoral-hoidon vaikutukset tutkimuksissa
Lumoral-hoitoa tutkivia kliinisiä tutkimuksia suunnittellaan ja toteutetaan kansainvälisten standardien mukaisesti, joita ovat muun muassa ovat ISO 14155 - GCP (Lääkinnällisillä laitteilla tehtävät kliiniset tutkimukset - hyvä kliininen käytäntö) ja EU:n lääkinnällisistä laitteista annettu asetus EU 2017/745 (MDR). Kun kliiniset tutkimukset tehdään laadukkaasti ja perustuen tieteelliseen arviointiin, sekä käyttäjät että suunterveyden hoidon ammattilaiset voivat luottaa lääkinnällisen laitteen laatuun ja suorituskykyyn.
Verenvuoto ikenistä
Bleeding on Probing (BOP%) väheni merkittävästi Lumoral-ryhmässä useassa tutkimuksessa. 1, 2, 3, 4, 9
• p-arvot: 0.031, 0.0002, 0.00013, 0.00014, <0.0001 (tupakoimattomat).
Plakin määrä
Visible Plaque Index (VPI%): väheni merkittävästi useassa tutkimuksessa. 2, 4, 9, 10, 12
• p-arvot: 0.046, 0.0045, 0.044, 0.0039, 0.019
Rustogi Modified Plaque Index (RMPI): merkittävä vähenemä. 10
• p-arvo: 0.0026
Greene-Vermilion Plaque Index (GVPI): merkittävä vähenemä. 6
• p-arvo: <0.00011
Syvät ientaskut
Probing Pocket Depth (PPD): kolmessa tutkimuksessa merkittävä vähennys. 2, 4, 9
• p-arvot: 0.046, 0.0043, 0.019
Periodontal Epithelial Surface Area (PESA): merkittävä lasku. 4
• p-arvo: 0.0094
Kliininen parodontaalinen terveys
Clinical Peridontal Index (CPI) -mittauksessa havaittiin merkittävä muutos. 9
• p-arvo: 0.00065
Tulehdusta mittaava entsyym
Active Matrix Metalloproteinase-8 (aMMP-8): merkittävä muutos kahdessa tutkimuksessa. 1, 3
• p-arvot: 0.0047, 0.027
Muita tuloksia
• Suun kuivuus väheni sekä subjektiivisessa että objektiivisessa mittauksessa. 5, 13
• Lumoral-laitteen käyttö parantaa suuhygieniaa (subjektiivinen ja objektiivinen arvio). 1, 2, 7, 8,10
• Käyttö koetaan helpoksi ja yksinkertaiseksi. 7
• Pitkäaikainen käyttö on subjektiivisesti arvioiden vähentänyt reikiintymistä, biofilmiä ja hammaskiven muodostusta. 7
- Lähteenmäki H, Pätilä T, Räisänen IT, Kankuri E, Tervahartiala T, Sorsa T. (2022). Repeated Home-Applied Dual-Light Antibacterial Photodynamic Therapy Can Reduce Plaque Burden, Inflammation, and aMMP-8 in Peri-Implant Disease—A Pilot Study. https://pmc.ncbi.nlm.nih.gov/articles/PMC8947626/
- Pakarinen S, Valimaa H, Heikkinen AM, et al. A randomized controlled trial of home-applied dual-light photodynamic therapy during supportive periodontal care (HOPE-CP study). J Periodontol. 2026;1-12. https://doi.org/10.1002/jper.70082
- Lähteenmäki H, Pätilä T, Räisänen IT, Kalliala R, Sorsa T. (2025). Peri-Implant Diseases: Enhanced Antibacterial Photodynamic Therapy. https://onlinelibrary.wiley.com/doi/10.1002/cre2.70146
- Tegelberg P, Ojala M, Ylipalosaari M, Lindroth J, Heikkinen AM, Lähteenmäki H, Pakarinen S, Räisänen IT, Sorsa T, Pätilä T. (2025). A Multicenter, Controlled, Randomized Trial of Home-Applied Dual-Light Photodynamic Therapy in Chronic Periodontitis. Preprint: https://www.medrxiv.org/content/10.1101/2025.03.25.25324596v1
- Romppanen W, Helenius-Hietala J, Korte S, Pakarinen S, Saarela R, Heikkinen AM, Sorsa T, Pätilä T. (2025). Dual-Light Antibacterial Photodynamic Therapy: Oral Health Improvements in Assisted Living Facilities Study Design (Article in Press)
- Cavalcante-Bitu C, Halen P, Lehti S, Pakarinen S, Pätilä T. (2025). Regularly Home-applied Dual-light Photodynamic Therapy on Dental Hygiene- a Prospective Randomized Study in Healthy Adults. (Full study article manuscript TBD, Thesis available in Finnish: https://www.theseus.fi/handle/10024/799188)
- Niva E, Kulmala H, Vakkuri S, Keinänen A-L, Korteniemi A. (2024). Thesis. Comfort of using the Lumoral device and feeling of oral cleanliness in healthy adults. https://www.theseus.fi/handle/10024/870703
- Haukka H, Kinnunen S, Pakarinen S. (2024). Thesis. The benefits of the Lumoral Treatment -device for oral self-care habits. https://urn.fi/URN:NBN:fi:amk-2024112630435
- Sundberg E, Kylmänen M, Eerikäinen H, Pätilä T, Sivén M. (2024) Thesis. The effect of home-use antibacterial photodynamic treatment on clinical oral parameters of patients with grade II or higher periodontitis – Evaluating an innovative medical device. https://helda.helsinki.fi/items/e9f93e98-1387-4c33-ba12-54f73526b6ae
- Gusseva L, Lill L, Runnel R, Pätilä T. (2025) Thesis. Regular Home-Use of Dual-Light Photodynamic Therapy in Oral Plaque Control in Healthy Adults-A Randomized Cross-Over Study. https://cdn.shopify.com/s/files/1/0264/6291/2621/files/Tarto_hygiene_study_thesis_En_22May2025.pdf?v=1748262952
- Nikinmaa S, Alapulli H, Auvinen P, Vaara M, Rantala J, et al. (2020) Dual-light photodynamic therapy administered daily provides a sustained antibacterial effect on biofilm and prevents Streptococcus mutans adaptation. PLOS ONE 15(5): e0232775. https://doi.org/10.1371/journal.pone.0232775
- Nikinmaa S, Moilanen N, Sorsa T, Rantala J, Alapulli H, Kotiranta A, Auvinen P, Kankuri E, Meurman JH, Pätilä T. Indocyanine Green-Assisted and LED-Light-Activated Antibacterial Photodynamic Therapy Reduces Dental Plaque. Dentistry Journal. 2021; 9(5):52. https://doi.org/10.3390/dj9050052
- Kiviniemi M, Laaksonen S. (2025). Thesis. Lumoral Treatment as part of oral self-care for persons with Sjögren’s syndrome. https://www.theseus.fi/handle/10024/902501
Lumoral-hoitopolku

Tarkasta: biofilmi, ientulehdus, BoP, syventyneet ien- ja implanttitaskut, terveydentilan riskitekijät & omahoitotottumukset.

Ennaltaehkäisevä: Biofilmin hallinta ja suunterveyden ylläpito
Terapeuttinen: Tulehduksen hallinta ja taudin etenemisen pysäyttäminen
Tehohoito: Akuutin tulehdustilan intensiivinen hoito

- Laite luovutetaan vastaanotolla tai toimitetaan suoraan kotiin
- Käyttö on nopeaa: n.15 minuuttia per hoitokerta
- Luonteva osa ilta- tai aamurutiinia
- Ei vaadi erityistä osaamista
- Sopii kaikenikäisille – voi käyttää itsenäisesti tai tarvittaessa avustettuna
Tarkasta: biofilmi, ientulehdus, BoP, syventyneet ien- ja implanttitaskut, terveydentilan riskitekijät & omahoitotottumukset.
Ennaltaehkäisevä: Biofilmin hallinta ja suunterveyden ylläpito
Terapeuttinen: Tulehduksen hallinta ja taudin etenemisen pysäyttäminen
Tehohoito: Akuutin tulehdustilan intensiivinen hoito
- Laite luovutetaan vastaanotolla tai toimitetaan suoraan kotiin
- Käyttö on nopeaa: n.15 minuuttia per hoitokerta
- Luonteva osa ilta- tai aamurutiinia
- Ei vaadi erityistä osaamista
- Sopii kaikenikäisille – voi käyttää itsenäisesti tai tarvittaessa avustettuna



Ammattilaisten suosittelema
90% Lumoral-hoitoa kokeilleista ammattilaisista suosittelee sitä osaksi omahoitoa.
83% raportoi biofilmiin ja parodontiumiin liittyvistä hyödyistä. (parodontiitti, puhtaan suun tunne, biofilmin määrä ja koostumus, runsas hammaskiven muodostuminen)
Lumoral-kyselytutkimus suunterveyden ammattilaisille, 2022-2026.
Vastaajia: 684. Koite Health Oy:n sisäinen aineisto.

Prof. Dr. med. dent. Werner Birglechner, hammaslääkäri
”Kliininen tutkimusnäyttö on todella vakuuttavaa. Erityisesti yksilölliseen riskiprofiiliin perustuva käyttöönohjaus suuhygienian asiantuntijan toimesta tarjoaa valtavan potentiaalin kohdennettuun ja haittavaikutuksista vapaaseen hoitoon. Erityisesti parodontiitin hoito tulee parantumaan merkittävästi ja pitkävaikutteisesti Lumoral-hoidon myötä.”

Akke Kumlien, hammaslääkäri, Södertandläkarna, Tukholma
“Teemme työtä hammasimplanttien ja vaativan hammashoidon parissa, ja olemme käyttäneet Lumoral-hoitoa jo pidemmän aikaa vähentääksemme suun tulehduksia ja parantaaksemme hoitojemme tuloksia. Potilaamme huomaavat selvän eron jo muutaman viikon käytön jälkeen. Siksi suosittelemme laitteen käyttöä potilaillemme.”

Aliisa Heinonen, suuhygienisti
“Olen aivan mykistynyt! Hämmästyttävää nähdä tulokset oikean potilaan suussa. Potilaan ikenet ovat kuin uudet, ja ienverenvuoto on 3 kuukauden kontrollissa laskenut 25%:sta kahteen prosenttiin. Kaikki neljän mm:n taskut ovat kadonneet.”
Potilaan parhaaksi
Hammaslääkäri suositteli tätä laitetta, koska limakalvoni ja ikenet olivat niin arat, ettei edes hammaskiven poistaminen tullut kysymykseen. Jo kymmenen ensimmäisen käyttökerran jälkeen hammaslääkärini totesi suuni limakalvoilla ja ikenissä huomattavaa muutosta parempaan. Olen kiitollinen tästä innovaatiosta.
Olin pitkään harkinnut laitteen hankintaa, mutta suhtauduin aluksi skeptisesti sen hyötyihin. Hammaslääkärini kuitenkin suositteli sitä ja kertoi lisää tuotteen kehitystaustasta. Keskustelu vahvisti käsitystäni, ja päätin tilata laitteen. Nyt voin todeta, että kyseessä on viisaasti käytetty raha, vaikka hankinta onkin hintava. Ainoa harmitus on, etten ostanut sitä jo aiemmin, sillä suuni olisi nyt paljon terveempi.
Aloitin laitteen käytön noin kaksi vuotta sitten hammaslääkärini suosituksesta kuivan suun ongelmiin. Laite on auttanut ja pitänyt ikeneni paremmassa kunnossa. Nyt hankimme oman laitteen myös miehelleni.
Minulla on II-tyypin diabetes, jonka seurauksena minulle kehittyi myös parodontiitti. Olen taistellut näitä vastaan jo vuosia huolellisella omahoidolla sekä hammaslääkärin suosittelemalla sähköhammasharjalla ja hammasväliharjoilla, kuitenkaan saavuttamatta riittävän hyvää lopputulosta. Sitten löysin Lumoralin, ja vasta siitä alkoi suun todellinen paraneminen. Käytän sitä säännöllisesti perusteellisen omahoidon ohessa, joka aamu ja ilta. Hammaslääkärini ja suuhygienistini ovat ihmetelleet huikeaa parannusta, ja huomaan sen tietysti myös itse: tulehdus on hallinnassa, ientaskut ovat pienentyneet ja plakkia ei ole lainkaan. Voin lämpimästi suositella Lumoralia.
Varaa koulutus.
Emilia Kataja shg, TtM
emilia.kataja@koitehealth.com
+358 40 518 5488

